laser therapy

レーザー治療

レーザー治療について

Nd:YAGレーザー・炭酸ガスレーザー

レーザー治療は従来の治療に比べ、患者さんの受ける苦痛や侵襲性をできるだけ減らしながら治療を行うことができ、治療効果の高い治療法です。
当院では、Nd:YAGレーザー、炭酸ガスレーザーを採用しております。
むし歯や歯周病の治療に限らず、様々な効果を発揮します。

以下のような症状に効果的です。

  • むし歯の治療・予防
  • 歯周病の治療
  • 根管治療(歯の根っこ・神経の治療)
  • 歯ぐきの黒ずみ(メラニン色素を飛ばします)
  • ホワイトニング(歯を白くします)
  • 知覚過敏処置(冷たいものがしみる方)
  • 口内炎・入れ歯の接触痛
  • 止血(歯を抜いた後など血を止めます)
  • その他(いろいろな無痛治療に)

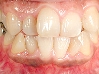
レーザー治療の例

  • メラニン除去術前
    メラニン除去術前
  • メラニン除去術後
    メラニン除去術後

レーザー治療の安全性は十分に立証されています。

副作用もなく、妊婦の方、高血圧の方、薬を服用中の方でも安心して治療が受けられます。